〒601-0713 京都府南丹市美山町中上前83 知井会館1F
※当サイトにおけるあらゆる情報(文章、画像等)の無断転載を禁じます。

  • ご予約・お問い合わせ
  • TEL0771-77-0010

診療案内

診療時間
10:00~13:00
15:00~19:00

【休診日】日・祝日、水曜午後、金曜午後、土曜午後
【訪問診療】水曜午前、土曜の午後(不定期)に行っております。

AESTHETIC DENTISTRY審美歯科

修復・補綴(ほてつ)治療とは

何度やり変えても上手くいかない、噛めないとおっしゃる方がよく来られます。
そういう方のお口を見てみると、たいていの場合ブリッジや入れ歯以前に、噛み合う相手の歯や隣の歯に問題があることがほとんどです。

抜けたり抜いたり、根だけになった状態で放置すると、噛み合う相手のない歯は伸びて来てしまい、隣り合う歯がないと倒れます。 そんな状態で無理にブリッジや部分入れ歯を入れても、噛めない・痛い・すぐ外れる、という状態になることがほとんどです。

当院では、詳細にお口の中を診査・診断し、必要があればブリッジや部分入れ歯を入れる予定の歯の周りや噛み合う相手の歯をきちんと治してから装着します。
そのため、治療に期間がかかることもありますが、後々のこと・長期にわたるお口の機能維持のためには、がんばって通院してもらうことが大事です。

ノーベルプロセラクラウン
「ノーベルプロセラクラウン」は、金属を使わない冠です。 従来の金属の上にセラミックを焼き付けたものより透明感が強く、より自然に見えます。

当院における治療例

40代女性

治療前
治療前
治療後
治療後

50代女性

治療前
治療前
治療後
治療後

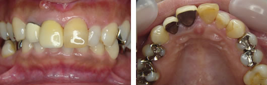
60代女性

治療前(右はジルコニアフレーム装着時)
治療前(右はジルコニアフレーム装着時)
治療後
治療後

治療は健康保険治療を主体に行っています

突然高額な治療費を請求したりするようなことはございませんので、ご安心ください。
設計や患者様のご要望にお応えするにあたり、健康保険診療での対応が困難な場合は、十分なご相談の上で治療を進めさせていただきます。

とはいえ、特に前歯部の補綴・修復におきましては、現行の健康保険の前装鋳造冠(いわゆる差し歯・かぶせ)では審美的回復に限界があります。より健康的に美しく治療されることを望まれるならば、金属を使わず身体にも優しい保険適応外のオールセラミック修復を強くおすすめします。

審美的(見た目の美しさ)にも材料的にも優れているセラミック修復や、軽く・薄く・丈夫な金属床義歯などの保険外診療をご希望の方は、お気軽にご相談ください。

保険外診療をご希望の方はお気軽にご相談ください

保険の補綴物と保険外(自費)の補綴物の違い

保険の補綴物と保険外(自費)の補綴物は何が違うの?とよく聞かれます。
一番の違いは材質。約37度で湿度100%、冷たい熱い、何度も噛むという物理的に厳しく、食品中のあらゆる性質のものにさらされるという化学的にも厳しい環境の中で、吸水や変色したりせず安定した性質を保てることが特徴です。
保険診療で使用される12%金銀パラジウム合金や、硬質レジンとの違いです。

しかし、保険外のものだから一生保てる、なんてことはありません。人間の作るものである上に、上記のようにお口の中は材料にとって非常に苛酷な環境です。どんな方法で治療しても限界はあります。

特に前歯部においては、健康保険の冠と保険外治療の冠とでは、出来上がりに明らかな差があります。
保険診療の“硬質レジン前装冠”と保険外診療の“セラミック”を用いた冠とでは、見た目に雲泥の差があります。

健康保険の冠は数年で黄ばんだりする変色が起こり、経年的な磨耗(磨り減ること)により、下地の金属が露出することもありますが、保険外治療のセラミック修復は、経年変化もなく非常に安定した性質を持っているため、生体にとても良いと考えられます。
オールセラミックの場合は、金属を使わずに治療するため、天然の歯と同様の透明感の再現に優れています。

セラミックの歯
セラミックの歯は、自然な仕上がりです。
(上顎前歯部3本がセラミックの歯です。)
健康保険の前歯
健康保険の前歯は、歯科技工士さんに無理をお願いして気合を入れて作ってもらってもここまでが限界です。透明感は再現できず、色調も単調で、2~3年で黄ばんできます。

健康保険では、”欠損部の治療”には”ブリッジ”と”義歯”しか認められていません。

ブリッジ 構造上、欠損部の両隣数歯を削らざるをえません。歯を削るという行為は歯にダメージを与えていることと同じなので、必要最小限にとどめる必要がありますが、健康保険ではブリッジにするための歯の切削量は多くなってしまいます。
また、10~15年で再治療になるケースが多いです。
義歯(部分入れ歯) 大幅な歯の切削はありませんが、欠損部に接する歯にクラスプという金具がかかります。長い目で見ると、この金具によって歯は揺さぶられて、金具のかけられた歯は早ければ5~10年で抜歯という結果になると予想できます。
かといって欠損部に歯を入れなければ、噛み合う相手の歯がのびてきたり、隣の歯が倒れてきたりして噛み合わせが狂います。

現時点で最良と考えられる欠損の治療の方法は、両隣の歯に金具をかけずに済み、削らなくても治療できる“デンタルインプラント”であるといえます。
しかし、インプラントによる治療は数10年来の実績があるにもかかわらず、“健康保険”では一切認められておりません。

いずれの方法で治療をするにしても、できるだけ長持ちさせるためには定期的なメンテナンスが重要です。
症状がないからといって、装着してそのまま検診やクリーニングを受けないでいると、長持ちさせることは不可能です。
保険外診療は定期的な検診・クリーニングが受けられない方、ご自分で十分なハミガキなどのお手入れができない方には向いていません。